Comunicat de presă, 31 august, București: CENTRUL MEDICAL EMERALD a fost recent acreditat de către Societatea Europeană de Cardiologie, prin Asociația Europeană de Imagistică Cardiovasculară (ESC-EACVI) și este, astfel, primul și singurul laborator de rezonanță magnetică cardiovasculară din Sud-Estul Europei care primește această recunoaștere.
La nivel european, doar 13 alte centre au fost recunoscute, din opt țări: Marea Britanie, Italia, Spania, Franța, Elveția, Olanda, Lituania și Egipt. Astfel, România, prin Centrul Medical Emerald, se alătură unei companii selecte de centre de excelență în cardiologie și imagistică cardiovasculară, precum Manchester University NHS Foundation Trust, University Hospital Zürich, Barts Heart Centre – CMR Unit sau Cardiovascular Institute Paris Sud Massy.
Stagii de fellowship pentru cardiologii din România și din străinătate
Această acreditare oferă Centrului Medical Emerald posibilitatea de a desfășura proiecte de cercetare și studii clinice, precum și desfășurarea unor stagii de pregătire în colaborare cu Societatea Europeană de Cardiologie. Astfel, tinerii cardiologi din România sau din străinătate pot beneficia de pregătire (stagii de fellowship) alături de echipa medicală Emerald la noi în țară.
Echipa de imagistică cardiovasculară prin rezonanță magnetică Emerald (CARDIO-RM) este o echipă medicală multidisciplinară formată din medic cardiolog, radiolog și tehnician/asistent, alături de o echipă administrativă care se ocupă de preluarea și pregătirea corespunzătoare a cazurilor în funcție de particularitățile fiecărui pacient. Echipa este formată din doctorul Răzvan Capșa – medic primar radiologie și imagistică medicală, cu experiență de peste 15 ani în imagistică cardiovasculară, doctorul Radu Nicolaescu – radiolog specializat în RM cu un interes special pentru bolile cardiace congenitale și doctorul Sebastian Onciul, cardiolog imagist pregătit în Marea Britanie în domeniul Cardio-RM, co-editor al Ghidului de Rezonanță Magnetică Cardiovasculară al Societății Europene de Cardiologie și al Societății Europene de Imagistică Cardiovasculară (ESC/EACVI), cu acreditare nivel 3 în CARDIO-RM oferită de EACVI.
Peste 1500 de investigații Cardio-RM de la lansarea centrului Emerald
De la lansarea centrului, echipa Emerald a efectuat peste 1500 de investigații CARDIO-RM pentru pacienți din 30 de centre medicale din 14 orașe din țară, colaborând în rezolvarea acestor cazuri cu peste 100 de medici cardiologi. Aproximativ 200 de investigații au fost realizate gratuit, beneficiarii fiind cazuri sociale în care investigația prin rezonanță magnetică a avut un rol crucial în stabilirea diagnosticului, modularea tratamentului și a prognosticului pacientului.
Centrul Medical Emerald se află în acest proces de certificare europeană de peste 8 luni de zile, existând o listă foarte strictă de criterii, de la echipamentele tehnice și software folosite la acreditările echipei medicale, numărul de investigații realizate și chiar tipurile de secvențe utilizate, fiind obligatorii o înaltă calitate a examinărilor și acoperirea unei arii mari de patologii, incluzând patologii congenitale, cardiomiopatii, miocardită sau boală cardiacă ischemică.
Din octombrie, departamentul de imagistică cardiovasculară din Emerald lansează o nouă investigație – Angio-CT coronarian prin instalarea unui aparat computer tomograf de ultimă generație alături de o echipă de specialiști radiologi și cardiologi, completând astfel paleta de investigații de diagnostic pentru afecțiunile cardiovasculare.
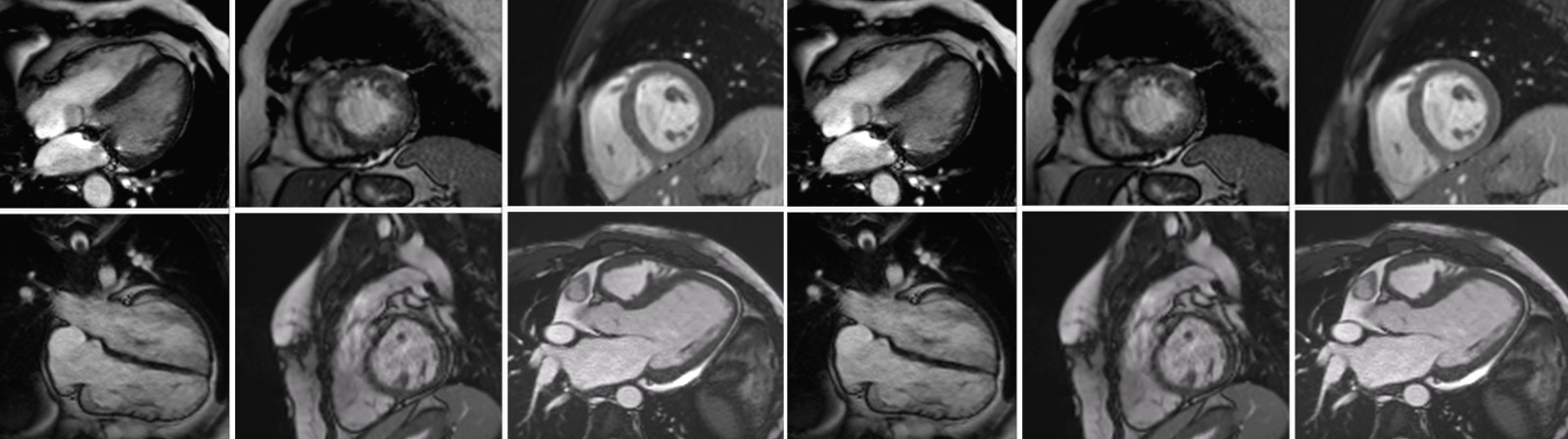
Rezonanța magnetică cardiovasculară (Cardio-RM) este cea mai avansată metodă imagistică de evaluare a funcției inimii. La Emerald, investigația este realizată de o echipă formată dintr-un medic radiolog cu experiență și un medic cardiolog specializat în RM cardiovasculară, în timpul acesteia fiind preluate peste 1500 de imagini de pe inimă, cu ajutorul unui aparat de ultimă generație, mai rapid, mai precis și mai silențios. Rezonanţa magnetică este o scanare nedureroasă și inofensivă, ce permite să privim în interiorul corpului fără utilizarea razelor X. Cu ajutorul unui magnet şi a undelor radio obţinem imagini detaliate, de foarte bună calitate cu privire la structura şi funcţia inimii.
Este indicată în cazul următoarelor patologii: Insuficiență cardiacă, Cardiomiopatie hipertrofică, Miocardită, Fibroză miocardică, Cardiomiopatie dilatativă, Displazie aritmogenă de ventricul drept, Bloc de ramură stângă, Extrasistole ventriculare, Aritmii ventriculare, Resincronizare cardiacă, CRT, Talasemie, Hemocromatoză, Amiloidoză, Boala Fabry, Regurgitare aortică, Insuficiență aortică. La Emerald se efectuează și rezonanță magnetică cardiacă de stres, o investigație nouă în Romania, dar foarte utilizată în celelalte țări europene, dedicată unor patologii speciale, cum ar fi: Boală cardiacă ischemică, Infarct miocardic acut, Cardiopatie ischemică, Angină pectorală, Stenturi coronariene, Bypass aorto-coronarian.
Află mai multe despre Centrul Medical Emerald și investigația CARDIO-RM aici. Lista completă a centrelor CARDIO-RM acreditate EACVI aici.



Magnificent goods from you, man. I’ve understand your stuff previous to and you are just extremely fantastic. I really like what you have acquired here, certainly like what you’re saying and the way in which you say it. You make it enjoyable and you still care for to keep it wise. I cant wait to read far more from you. This is actually a great website.
Thanks for this article. I’d personally also like to talk about the fact that it can possibly be hard when you are in school and merely starting out to initiate a long history of credit. There are many individuals who are only trying to live and have a good or favourable credit history can sometimes be a difficult factor to have.
When ladies matching your parameters appear, you can either online dating video chat write something in chat online or add them to favorites
Thanks for sharing. I read many of your blog posts, cool, your blog is very good.